Neutrophil Band Cell

Neutrophil Band Cell

Neutrophil band cells are a crucial component of the immune system, playing a vital role in the body's defense against infections. These cells are a type of white blood cell that are produced in the bone marrow and released into the bloodstream to combat invading pathogens. Understanding the function, identification, and clinical significance of neutrophil band cells is essential for healthcare professionals and researchers alike.

Understanding Neutrophil Band Cells

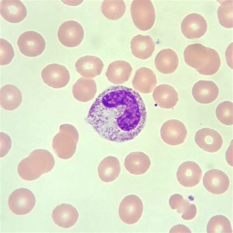
Neutrophil band cells, also known as band neutrophils or immature neutrophils, are a precursor to mature neutrophils. They are called "band" cells because of their distinctive nuclear shape, which appears as a band or U-shape rather than the segmented lobes seen in mature neutrophils. These cells are part of the body's innate immune response, providing a rapid defense against bacterial and fungal infections.

Function of Neutrophil Band Cells

Neutrophil band cells are released from the bone marrow into the bloodstream in response to infection or inflammation. Their primary function is to phagocytose and destroy invading pathogens. This process involves several steps:

  • Chemotaxis: Neutrophil band cells move towards the site of infection in response to chemical signals released by infected tissues.
  • Phagocytosis: Once at the site of infection, these cells engulf and internalize the pathogens.
  • Killing: The internalized pathogens are destroyed through the release of antimicrobial substances and reactive oxygen species.

Neutrophil band cells are particularly important in the early stages of infection, providing a quick response until more specialized immune cells can be activated.

Identification of Neutrophil Band Cells

Identifying neutrophil band cells in a blood smear is a critical skill for hematologists and laboratory technicians. These cells can be distinguished from mature neutrophils by their nuclear morphology. Here are the key features to look for:

  • Nuclear Shape: The nucleus of a neutrophil band cell appears as a single, horseshoe-shaped or band-shaped structure, unlike the segmented nucleus of mature neutrophils.
  • Cytoplasm: The cytoplasm is granular and contains fine, pinkish granules.
  • Size: Neutrophil band cells are slightly smaller than mature neutrophils.

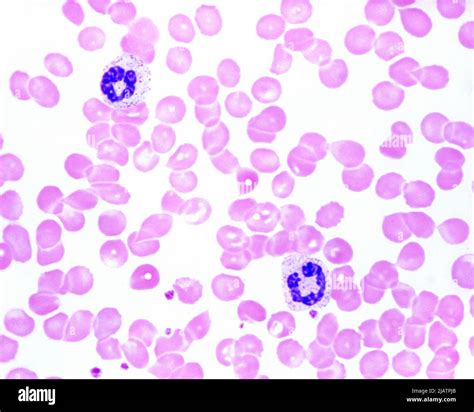
To accurately identify neutrophil band cells, a peripheral blood smear is examined under a microscope. The presence of these cells can indicate an ongoing infection or inflammation.

Clinical Significance of Neutrophil Band Cells

The presence of neutrophil band cells in the blood can have significant clinical implications. An increase in these cells, known as a "left shift," is often seen in conditions such as:

  • Bacterial Infections: Infections caused by bacteria often trigger a rapid release of neutrophil band cells into the bloodstream.
  • Sepsis: A severe and life-threatening infection that can lead to organ failure and death.
  • Inflammatory Conditions: Conditions such as rheumatoid arthritis or inflammatory bowel disease can also cause an increase in neutrophil band cells.

Monitoring the levels of neutrophil band cells can help healthcare professionals diagnose and manage these conditions effectively.

Diagnostic Value of Neutrophil Band Cells

The diagnostic value of neutrophil band cells lies in their ability to indicate the presence and severity of an infection or inflammation. A complete blood count (CBC) with differential can provide valuable information about the number of neutrophil band cells present. This information can be used to:

  • Diagnose Infections: An elevated count of neutrophil band cells can suggest the presence of a bacterial infection.
  • Monitor Treatment: Changes in the number of neutrophil band cells can indicate whether a treatment is effective.
  • Predict Outcomes: In some cases, the presence of neutrophil band cells can help predict the outcome of a disease or condition.

For example, in sepsis, a high count of neutrophil band cells is often associated with a poorer prognosis. Monitoring these cells can help guide treatment decisions and improve patient outcomes.

Neutrophil Band Cells in Different Conditions

Neutrophil band cells play a role in various medical conditions, each with its unique implications. Here are some key conditions where neutrophil band cells are particularly relevant:

Bacterial Infections

Bacterial infections are one of the most common causes of an increased neutrophil band cell count. These infections can range from mild to severe and may affect various parts of the body, including the lungs, urinary tract, and skin. The presence of neutrophil band cells in the blood can indicate the severity of the infection and the need for prompt treatment.

Sepsis

Sepsis is a severe and life-threatening condition that occurs when the body's response to an infection injures its own tissues. Neutrophil band cells are often elevated in sepsis, and their presence can be a marker of disease severity. Early recognition and treatment of sepsis are crucial for improving patient outcomes.

Inflammatory Conditions

Inflammatory conditions such as rheumatoid arthritis and inflammatory bowel disease can also cause an increase in neutrophil band cells. These cells contribute to the inflammatory response by releasing cytokines and other mediators that promote inflammation. Monitoring neutrophil band cells can help manage these conditions and assess the effectiveness of treatment.

Bone Marrow Disorders

Bone marrow disorders, such as leukemia and myelodysplastic syndromes, can affect the production of neutrophil band cells. In these conditions, the bone marrow may produce abnormal or immature neutrophils, leading to an increased count of neutrophil band cells in the blood. Accurate identification and monitoring of these cells are essential for diagnosing and managing bone marrow disorders.

Treatment and Management

The treatment and management of conditions associated with elevated neutrophil band cells depend on the underlying cause. Here are some general approaches:

  • Antibiotic Therapy: For bacterial infections, antibiotic therapy is the primary treatment. The choice of antibiotic depends on the type of bacteria and the severity of the infection.
  • Supportive Care: In severe infections such as sepsis, supportive care is essential. This may include fluid resuscitation, organ support, and monitoring for complications.
  • Anti-Inflammatory Medications: For inflammatory conditions, anti-inflammatory medications such as corticosteroids or disease-modifying antirheumatic drugs (DMARDs) may be used to manage symptoms and reduce inflammation.
  • Bone Marrow Transplant: In some bone marrow disorders, a bone marrow transplant may be necessary to restore normal blood cell production.

Regular monitoring of neutrophil band cells can help guide treatment decisions and improve patient outcomes.

Future Directions in Research

Research on neutrophil band cells continues to evolve, with a focus on understanding their role in various diseases and developing new diagnostic and therapeutic strategies. Some areas of ongoing research include:

  • Biomarkers: Identifying specific biomarkers associated with neutrophil band cells can improve diagnostic accuracy and prognosis.
  • Therapeutic Targets: Developing targeted therapies that modulate the function of neutrophil band cells can enhance treatment effectiveness.
  • Imaging Techniques: Advances in imaging techniques can provide better visualization and quantification of neutrophil band cells in tissues.

These research efforts aim to improve our understanding of neutrophil band cells and their clinical applications, ultimately leading to better patient care.

🔍 Note: The information provided in this blog post is for educational purposes only and should not be used as a substitute for professional medical advice. Always consult a healthcare provider for medical concerns.

Neutrophil band cells are a critical component of the immune system, playing a vital role in defending the body against infections and inflammation. Their identification and monitoring are essential for diagnosing and managing various medical conditions. Understanding the function, clinical significance, and diagnostic value of neutrophil band cells can help healthcare professionals provide better care and improve patient outcomes. By continuing to advance our knowledge of these cells, we can develop more effective diagnostic and therapeutic strategies, ultimately leading to better health outcomes for patients.

Related Terms:

  • another name for band neutrophils
  • bands immature neutrophils
  • neutrophil band stab
  • neutrophils identification chart
  • band neutrophils meaning
  • band neutrophils characteristics