Radial Groove Of Humerus

Radial Groove Of Humerus

The human body is a marvel of engineering, with each bone serving a specific purpose in maintaining structure and facilitating movement. Among the many bones that make up the skeletal system, the humerus stands out as a critical component of the upper limb. The humerus, or upper arm bone, plays a pivotal role in the movement of the arm and shoulder. One of its distinctive features is the radial groove of humerus, a crucial anatomical landmark that deserves closer examination.

The Anatomy of the Humerus

The humerus is the longest bone in the arm, extending from the shoulder to the elbow. It is composed of several key features, including the head, greater and lesser tuberosities, surgical neck, anatomical neck, shaft, and the distal end with the medial and lateral epicondyles. The radial groove of humerus is located on the posterior aspect of the shaft, running obliquely from the lateral to the medial side. This groove is essential for the passage of the radial nerve and the profunda brachii artery.

The Significance of the Radial Groove of Humerus

The radial groove of humerus serves as a protective channel for the radial nerve and the profunda brachii artery. The radial nerve, one of the major nerves of the arm, innervates the muscles responsible for extending the elbow, wrist, and fingers. The profunda brachii artery supplies blood to the posterior compartment of the arm. Any injury or compression in this area can lead to significant functional impairments, making the radial groove of humerus a critical anatomical structure.

Clinical Implications

Understanding the radial groove of humerus is crucial for clinicians and surgeons. Injuries to this area can result in radial nerve palsy, characterized by weakness or paralysis of the muscles innervated by the radial nerve. This condition can affect the ability to extend the wrist and fingers, leading to a condition known as "wrist drop." Additionally, fractures of the humerus, particularly those involving the shaft, can disrupt the radial groove of humerus, causing nerve damage and vascular compromise.

In surgical procedures, such as humeral shaft fractures or radial nerve decompression, knowledge of the radial groove of humerus is essential. Surgeons must carefully navigate this area to avoid further damage to the radial nerve and the profunda brachii artery. Preoperative planning and intraoperative identification of the radial groove of humerus can help minimize complications and improve surgical outcomes.

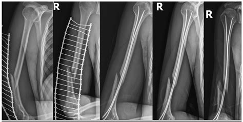
Diagnostic Imaging

Diagnostic imaging plays a vital role in evaluating the radial groove of humerus and its associated structures. Radiographs, computed tomography (CT) scans, and magnetic resonance imaging (MRI) are commonly used to assess fractures, dislocations, and soft tissue injuries involving the humerus. These imaging modalities provide detailed views of the bone and surrounding tissues, helping clinicians identify any abnormalities or injuries in the radial groove of humerus area.

Radiographs are often the first-line imaging modality for evaluating humeral fractures. They provide a clear view of the bone structure and can help identify fractures, dislocations, and other bony abnormalities. CT scans offer more detailed images of the bone and can be used to assess the extent of fractures and the involvement of the radial groove of humerus. MRI, on the other hand, provides excellent soft tissue contrast and can help evaluate the radial nerve and other soft tissue structures in the area.

Treatment and Management

Treatment of injuries involving the radial groove of humerus depends on the severity and type of injury. Conservative management, such as immobilization and physical therapy, may be sufficient for minor injuries. However, more severe injuries, such as fractures or nerve damage, may require surgical intervention.

Surgical treatment options include open reduction and internal fixation (ORIF) for fractures, nerve decompression for radial nerve entrapment, and vascular repair for injuries to the profunda brachii artery. The choice of treatment depends on the specific injury and the patient's overall health and functional status.

Postoperative care is crucial for a successful recovery. Patients may require physical therapy to regain strength and range of motion in the affected arm. Pain management and wound care are also important aspects of postoperative care. Regular follow-up appointments with the healthcare provider can help monitor progress and address any complications that may arise.

📝 Note: Always consult with a healthcare professional for personalized advice and treatment options.

Prevention of Injuries

Preventing injuries to the radial groove of humerus involves taking precautions to protect the arm and shoulder. Wearing protective gear during sports and physical activities can help reduce the risk of fractures and other injuries. Proper warm-up and stretching before physical activity can also help prepare the muscles and joints for exertion, reducing the risk of injury.

Maintaining good posture and ergonomics during daily activities can help prevent overuse injuries and strain on the arm and shoulder. Avoiding repetitive motions and taking regular breaks can also help reduce the risk of injury. If you experience pain or discomfort in the arm or shoulder, it is important to seek medical attention promptly to prevent further damage.

Conclusion

The radial groove of humerus is a critical anatomical structure that plays a vital role in the function of the upper limb. Its significance lies in protecting the radial nerve and the profunda brachii artery, which are essential for arm movement and blood supply. Understanding the anatomy and clinical implications of the radial groove of humerus is crucial for clinicians and surgeons in diagnosing and treating injuries involving this area. Diagnostic imaging, treatment options, and preventive measures are all important aspects of managing injuries to the radial groove of humerus. By taking appropriate precautions and seeking timely medical attention, individuals can minimize the risk of injury and maintain optimal arm function.

Related Terms:

  • humerus shaft radial groove
  • radial fossa of humerus
  • where does radial nerve originate
  • radial sulcus of humerus
  • muscle innervated by radial nerve
  • radial groove anatomy