Shift Of Mediastinum

Shift Of Mediastinum

Understanding the shift of mediastinum is crucial for medical professionals, as it can indicate serious underlying conditions that require immediate attention. The mediastinum is the central compartment of the thoracic cavity, containing vital structures such as the heart, great vessels, trachea, esophagus, and lymph nodes. A shift in the mediastinum can be a sign of various pathologies, including pneumothorax, pleural effusion, and diaphragmatic hernia. This blog post will delve into the causes, symptoms, diagnosis, and treatment of a shift of mediastinum, providing a comprehensive overview for healthcare providers and curious readers alike.

Causes of Shift of Mediastinum

A shift of mediastinum can occur due to several reasons, primarily involving changes in pressure within the thoracic cavity. Some of the most common causes include:

  • Pneumothorax: A condition where air leaks into the space between the lung and the chest wall, causing the lung to collapse. This can lead to a shift of the mediastinum towards the unaffected side.
  • Pleural Effusion: The accumulation of fluid in the pleural space, which can push the mediastinum towards the opposite side.
  • Diaphragmatic Hernia: A condition where part of the stomach or intestine protrudes through an opening in the diaphragm, causing a shift in the mediastinum.
  • Tension Pneumothorax: A medical emergency where air accumulates in the pleural space under pressure, pushing the mediastinum and potentially compressing the heart and great vessels.
  • Massive Pulmonary Embolism: A blockage in the pulmonary arteries, often due to a blood clot, which can cause a shift in the mediastinum due to increased pressure in the affected lung.

Symptoms of Shift of Mediastinum

The symptoms of a shift of mediastinum can vary depending on the underlying cause. However, some common symptoms include:

  • Shortness of breath
  • Chest pain
  • Rapid heart rate
  • Cyanosis (bluish discoloration of the skin)
  • Coughing
  • Fever
  • Fatigue

In severe cases, such as tension pneumothorax, symptoms can be life-threatening and may include:

  • Severe chest pain
  • Rapid, shallow breathing
  • Low blood pressure
  • Loss of consciousness

Diagnosis of Shift of Mediastinum

Diagnosing a shift of mediastinum involves a combination of physical examination, medical history, and diagnostic tests. The diagnostic process typically includes:

  • Physical Examination: The healthcare provider will listen to the lungs with a stethoscope, check for signs of respiratory distress, and assess the patient's overall condition.
  • Medical History: The provider will ask about symptoms, any recent injuries or surgeries, and any underlying medical conditions.
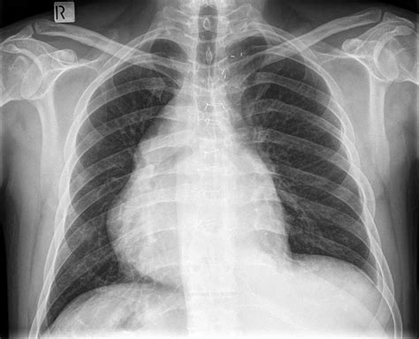
  • Chest X-ray: This is often the first diagnostic test performed. It can show the position of the mediastinum and any abnormalities in the lungs or pleural space.
  • Computed Tomography (CT) Scan: A CT scan provides detailed images of the chest and can help identify the cause of the mediastinal shift, such as a pneumothorax or pleural effusion.
  • Ultrasound: This can be used to visualize fluid in the pleural space or to guide procedures such as thoracentesis (draining fluid from the pleural space).
  • Arterial Blood Gas (ABG) Analysis: This test measures the levels of oxygen and carbon dioxide in the blood, helping to assess the severity of respiratory distress.

Treatment of Shift of Mediastinum

The treatment of a shift of mediastinum depends on the underlying cause. Some common treatments include:

  • Oxygen Therapy: Providing supplemental oxygen to help alleviate shortness of breath and improve oxygenation.
  • Chest Tube Insertion: For conditions like pneumothorax or pleural effusion, a chest tube may be inserted to drain air or fluid from the pleural space.
  • Needle Decompression: In cases of tension pneumothorax, a needle may be inserted into the chest to quickly release the trapped air and relieve pressure.
  • Thoracentesis: A procedure to drain fluid from the pleural space using a needle and syringe.
  • Surgical Intervention: In some cases, surgery may be required to repair a diaphragmatic hernia or to remove a mass causing the mediastinal shift.
  • Medications: Depending on the underlying cause, medications such as antibiotics, pain relievers, or anticoagulants may be prescribed.

In cases of tension pneumothorax, immediate intervention is crucial. The condition can be life-threatening if not treated promptly. Needle decompression or chest tube insertion is often performed as an emergency procedure to relieve the pressure and stabilize the patient.

Complications of Shift of Mediastinum

If left untreated, a shift of mediastinum can lead to several complications, including:

  • Respiratory Failure: The shift can compromise lung function, leading to respiratory failure and the need for mechanical ventilation.
  • Cardiac Compromise: The mediastinal shift can compress the heart and great vessels, leading to decreased cardiac output and potential cardiac arrest.
  • Organ Damage: Prolonged pressure on vital structures can cause organ damage, including lung injury, liver damage, or kidney failure.
  • Sepsis: In cases of infection, such as empyema (pus in the pleural space), sepsis can develop, leading to a systemic inflammatory response and organ failure.

Early diagnosis and prompt treatment are essential to prevent these complications and improve patient outcomes.

Prevention of Shift of Mediastinum

Preventing a shift of mediastinum involves addressing the underlying causes and taking appropriate precautions. Some preventive measures include:

  • Avoiding Risk Factors: For conditions like pneumothorax, avoiding activities that increase the risk of lung injury, such as smoking or high-impact sports, can be beneficial.
  • Regular Check-ups: Regular medical check-ups can help detect underlying conditions that may lead to a mediastinal shift, such as pleural effusion or diaphragmatic hernia.
  • Prompt Treatment of Infections: Treating respiratory infections promptly can prevent complications that may lead to a mediastinal shift.
  • Healthy Lifestyle: Maintaining a healthy lifestyle, including a balanced diet and regular exercise, can improve overall health and reduce the risk of conditions that may cause a mediastinal shift.

While some causes of a shift of mediastinum are unavoidable, taking these preventive measures can help reduce the risk and improve overall health.

📝 Note: This blog post provides general information and should not be used as a substitute for professional medical advice. Always consult a healthcare provider for diagnosis and treatment.

In summary, a shift of mediastinum is a serious medical condition that requires prompt diagnosis and treatment. Understanding the causes, symptoms, and treatment options can help healthcare providers and patients recognize the signs and seek appropriate care. Early intervention is crucial to prevent complications and improve patient outcomes. By taking preventive measures and addressing underlying conditions, the risk of a mediastinal shift can be reduced, leading to better overall health.

Related Terms:

  • mediastinal shift x ray
  • mediastinal shift symptoms
  • mediastinal flutter
  • mediastinal shift in pneumothorax
  • mediastinal shift to the right
  • mediastinal shift radiopaedia