References in Fractures of the fifth metatarsal; diagnosis and ...
Learning

References in Fractures of the fifth metatarsal; diagnosis and ...

1400 × 1769 px March 19, 2025 Ashley Learning

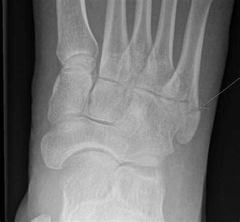
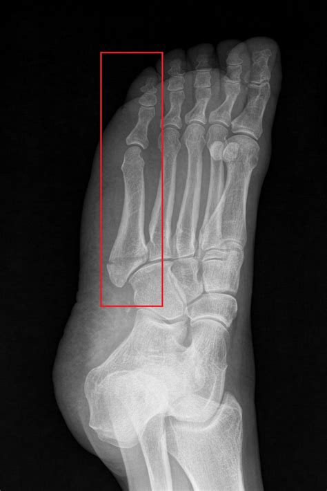
Injuries to the foot can be debilitating, and one of the most common and painful conditions is a Fifth Metatarsal Fracture. This type of fracture occurs in the fifth metatarsal bone, which is located on the outer side of the foot. Understanding the causes, symptoms, diagnosis, and treatment options for a Fifth Metatarsal Fracture is crucial for effective management and recovery.

Understanding the Fifth Metatarsal Bone

The fifth metatarsal bone is one of the five long bones in the foot that connect the toes to the rest of the foot. It plays a critical role in supporting the weight of the body and facilitating movement. The bone is particularly vulnerable to fractures due to its location and the forces it endures during physical activities.

Causes of Fifth Metatarsal Fracture

A Fifth Metatarsal Fracture can occur due to various reasons, including:

  • Traumatic Injuries: Direct impact or trauma to the foot, such as from a fall or a heavy object dropping on the foot.
  • Overuse: Repetitive stress on the foot, often seen in athletes or individuals who engage in high-impact activities.
  • Poor Footwear: Wearing shoes that do not provide adequate support or cushioning can increase the risk of fractures.
  • Underlying Conditions: Conditions like osteoporosis or other bone diseases can weaken the bone, making it more susceptible to fractures.

Symptoms of Fifth Metatarsal Fracture

Recognizing the symptoms of a Fifth Metatarsal Fracture is essential for prompt treatment. Common symptoms include:

  • Pain: Severe pain on the outer side of the foot, especially when walking or bearing weight.
  • Swelling: Noticeable swelling and bruising around the affected area.
  • Difficulty Walking: Inability to walk or stand comfortably due to pain.
  • Tenderness: Tenderness to touch or pressure on the outer side of the foot.

Diagnosing a Fifth Metatarsal Fracture

Diagnosing a Fifth Metatarsal Fracture typically involves a combination of physical examination and imaging tests. The diagnostic process may include:

  • Physical Examination: A healthcare provider will examine the foot, checking for swelling, tenderness, and deformity.
  • X-Rays: X-rays are the primary imaging tool used to confirm the presence and location of the fracture.
  • CT Scans or MRIs: In some cases, more detailed imaging such as CT scans or MRIs may be required to assess the extent of the fracture and plan treatment.

Treatment Options for Fifth Metatarsal Fracture

The treatment for a Fifth Metatarsal Fracture depends on the severity and location of the fracture. Common treatment options include:

  • Non-Surgical Treatment: For less severe fractures, non-surgical treatment may be sufficient. This includes:
    • Rest: Avoiding activities that put pressure on the foot.
    • Ice: Applying ice to reduce swelling and pain.
    • Compression: Using a compression bandage to control swelling.
    • Elevation: Keeping the foot elevated to reduce swelling.
    • Pain Medication: Over-the-counter pain relievers to manage pain.
    • Immobilization: Using a cast, boot, or brace to immobilize the foot and promote healing.
  • Surgical Treatment: For more severe or displaced fractures, surgery may be necessary. Surgical options include:
    • Open Reduction and Internal Fixation (ORIF): A procedure where the bone is realigned and held in place with screws, plates, or pins.
    • Bone Grafting: In cases where the bone is severely damaged, a bone graft may be used to promote healing.

Recovery and Rehabilitation

Recovery from a Fifth Metatarsal Fracture can take several weeks to months, depending on the severity of the fracture and the chosen treatment method. Rehabilitation typically involves:

  • Physical Therapy: Exercises to improve range of motion, strength, and flexibility.
  • Gradual Return to Activity: Slowly increasing physical activity as tolerated.
  • Follow-Up Care: Regular check-ups with a healthcare provider to monitor progress and adjust treatment as needed.

📝 Note: It is important to follow the healthcare provider's instructions carefully to ensure proper healing and prevent complications.

Preventing Fifth Metatarsal Fracture

While not all Fifth Metatarsal Fractures can be prevented, there are several steps you can take to reduce the risk:

  • Wear Appropriate Footwear: Choose shoes that provide good support and cushioning.
  • Gradual Increase in Activity: Avoid sudden increases in physical activity to prevent overuse injuries.
  • Strengthen Foot Muscles: Engage in exercises that strengthen the muscles and tendons in the foot.
  • Maintain Bone Health: Ensure adequate calcium and vitamin D intake to maintain bone strength.

Common Complications

Although rare, complications can occur with a Fifth Metatarsal Fracture. Some potential complications include:

  • Non-Union: The bone fails to heal properly, leading to chronic pain and instability.
  • Malunion: The bone heals in an improper position, which can affect foot function.
  • Infection: In cases where surgery is required, there is a risk of infection.
  • Nerve Damage: Injury to nearby nerves can cause numbness, tingling, or weakness.

📝 Note: If you experience any of these complications, it is important to seek medical attention promptly.

When to Seek Medical Attention

If you suspect you have a Fifth Metatarsal Fracture, it is crucial to seek medical attention promptly. Delaying treatment can lead to complications and prolonged recovery. Contact a healthcare provider if you experience:

  • Severe pain and swelling in the foot.
  • Inability to bear weight on the foot.
  • Visible deformity or bruising.
  • Persistent pain that does not improve with rest and ice.

Living with a Fifth Metatarsal Fracture

Living with a Fifth Metatarsal Fracture can be challenging, but with proper care and rehabilitation, most people can return to their normal activities. It is essential to:

  • Follow the healthcare provider’s instructions for treatment and rehabilitation.
  • Gradually increase physical activity as tolerated.
  • Maintain a healthy lifestyle to support bone health and overall well-being.

Managing a Fifth Metatarsal Fracture requires patience and dedication to the recovery process. By understanding the causes, symptoms, and treatment options, you can take proactive steps to promote healing and prevent future injuries. With the right care and support, you can overcome this challenging condition and return to your active lifestyle.

Related Terms:

  • 5th metatarsal stress fracture
  • pictures of 5th metatarsal fracture
  • 5th metatarsal shaft fractures
  • 5th metatarsal fracture healing timeline
  • 5th metatarsal base fracture
  • 5th metatarsal stress fracture foot

More Images