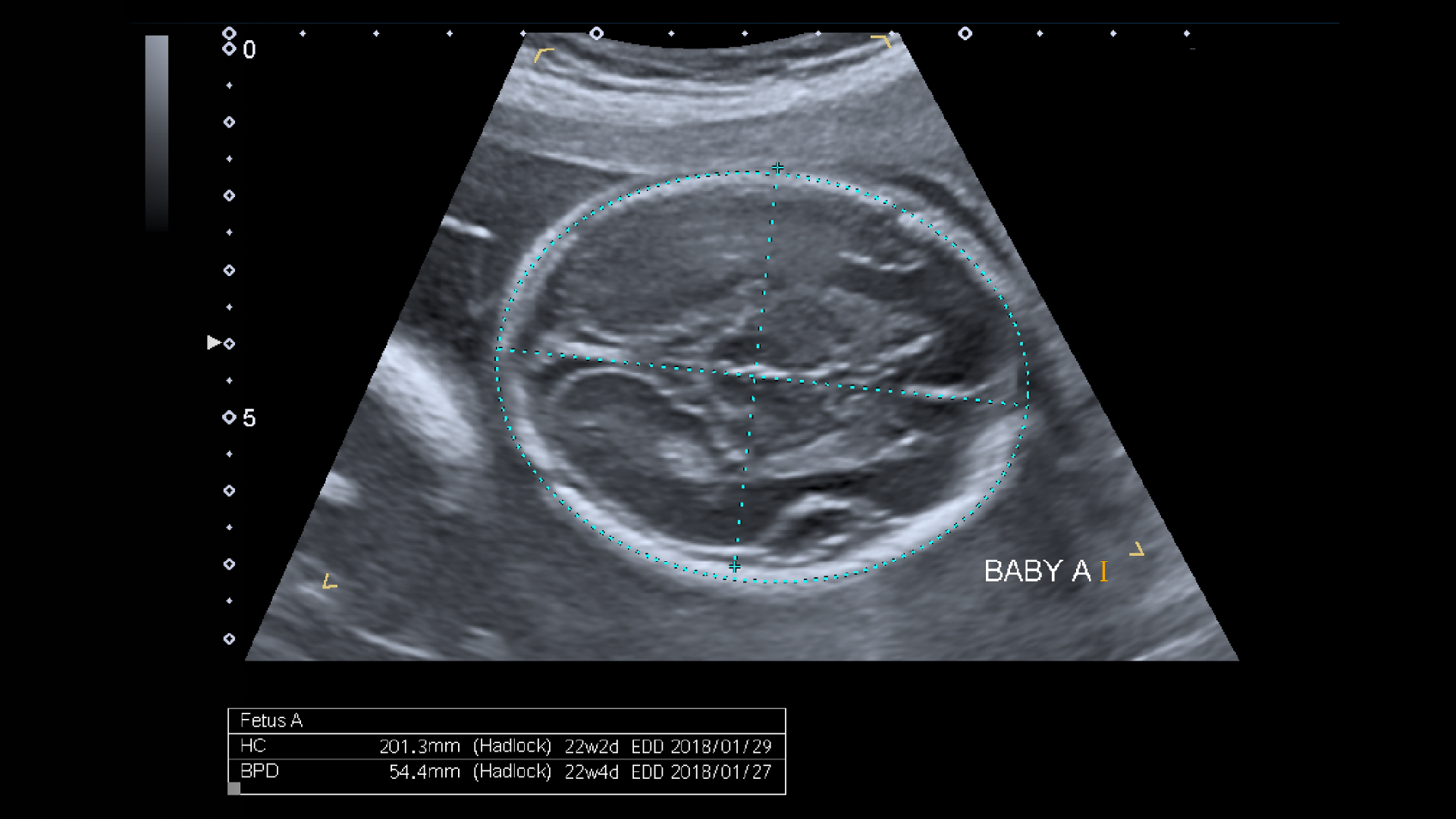
Fetal Biometry: What is BPD on an Ultrasound?
Learning

Fetal Biometry: What is BPD on an Ultrasound?

1920 × 1080 px April 3, 2025 Ashley Learning

Ultrasound technology has revolutionized the field of medical diagnostics, offering a non-invasive and efficient way to visualize internal body structures. Among the various types of ultrasound examinations, the Hc Ultrasound Meaning is particularly significant. This term refers to the ultrasound examination of the heart, commonly known as an echocardiogram. This procedure is crucial for diagnosing and monitoring a wide range of cardiac conditions, providing valuable insights into the heart's structure and function.

Understanding Hc Ultrasound Meaning

The Hc Ultrasound Meaning specifically pertains to the use of ultrasound waves to create images of the heart. This type of ultrasound is essential for cardiologists and other healthcare professionals to assess the heart’s health. The procedure involves using a transducer that emits high-frequency sound waves, which bounce off the heart’s structures and return to the transducer. These echoes are then converted into real-time images that can be analyzed.

Types of Echocardiograms

There are several types of echocardiograms, each serving different diagnostic purposes:

  • Transthoracic Echocardiogram (TTE): This is the most common type, where the transducer is placed on the chest to capture images of the heart.
  • Transesophageal Echocardiogram (TEE): In this procedure, the transducer is inserted down the throat and into the esophagus to get clearer images of the heart, particularly useful for detecting blood clots or other abnormalities.
  • Stress Echocardiogram: This involves taking echocardiograms before and after the heart is stressed, either through exercise or medication, to evaluate how the heart responds to stress.
  • Doppler Echocardiogram: This type uses Doppler ultrasound to measure the speed and direction of blood flow through the heart, helping to identify any blockages or leaks.

Preparation for an Echocardiogram

Preparing for an echocardiogram is generally straightforward. For a transthoracic echocardiogram, patients typically do not need to follow any special preparations. However, for a transesophageal echocardiogram, patients may need to fast for several hours before the procedure to ensure the throat is clear. Additionally, patients may be asked to change into a hospital gown and remove any jewelry or metal objects that could interfere with the ultrasound images.

Procedure and What to Expect

The procedure for an echocardiogram is generally painless and non-invasive. Here is a step-by-step overview of what to expect:

  • Transthoracic Echocardiogram: The patient lies on an examination table, and electrodes are attached to the chest to monitor the heart’s electrical activity. A gel is applied to the chest to improve the conductivity of the ultrasound waves. The transducer is then moved across the chest to capture images from different angles.
  • Transesophageal Echocardiogram: The patient is usually given a sedative to relax and a local anesthetic to numb the throat. The transducer is then inserted down the throat and into the esophagus, where it captures detailed images of the heart.
  • Stress Echocardiogram: The patient undergoes an echocardiogram before and after a stress test, which can involve exercise on a treadmill or the administration of medication to simulate exercise.
  • Doppler Echocardiogram: This procedure is similar to a transthoracic echocardiogram but includes the use of Doppler ultrasound to measure blood flow.

📝 Note: Patients should inform their healthcare provider about any medications they are taking, as well as any allergies or medical conditions that could affect the procedure.

Interpreting the Results

The results of an echocardiogram are interpreted by a cardiologist or a radiologist who specializes in ultrasound imaging. The images and data collected during the procedure provide valuable information about the heart’s structure and function. Key areas of focus include:

  • Chamber Size and Function: The size and pumping ability of the heart’s chambers are assessed to detect any abnormalities.
  • Valve Function: The condition of the heart valves is evaluated to identify any leaks, narrowing, or other issues.
  • Blood Flow: The speed and direction of blood flow through the heart are measured to detect any blockages or irregularities.
  • Heart Muscle Thickness: The thickness of the heart muscle is assessed to identify conditions such as hypertrophic cardiomyopathy.

Common Conditions Diagnosed with Echocardiograms

Echocardiograms are used to diagnose a wide range of cardiac conditions, including:

  • Heart Failure: The procedure can help determine the cause and severity of heart failure by assessing the heart’s pumping ability.
  • Valvular Heart Disease: Echocardiograms can detect issues with the heart valves, such as stenosis (narrowing) or regurgitation (leaking).
  • Cardiomyopathy: This condition involves the thickening or weakening of the heart muscle, which can be identified through an echocardiogram.
  • Congenital Heart Defects: Echocardiograms are crucial for diagnosing and monitoring congenital heart defects in infants and children.
  • Pericardial Effusion: The presence of fluid around the heart can be detected and monitored using an echocardiogram.

Benefits of Echocardiograms

Echocardiograms offer several benefits, making them a preferred diagnostic tool for cardiac conditions:

  • Non-Invasive: The procedure is non-invasive and does not require any incisions or injections, making it a safe and comfortable option for patients.
  • Real-Time Imaging: Echocardiograms provide real-time images of the heart, allowing for immediate assessment and diagnosis.
  • Cost-Effective: Compared to other imaging techniques, such as magnetic resonance imaging (MRI) or computed tomography (CT) scans, echocardiograms are generally more cost-effective.
  • Portable: The equipment used for echocardiograms is portable, making it possible to perform the procedure in various settings, including hospitals, clinics, and even at the patient’s bedside.

Limitations of Echocardiograms

While echocardiograms are highly effective, they do have some limitations:

  • Image Quality: The quality of the images can be affected by factors such as the patient’s body habitus, lung disease, or the presence of bone or air between the transducer and the heart.
  • Operator Dependency: The skill and experience of the technician performing the procedure can significantly impact the quality and accuracy of the results.
  • Limited View: Some structures of the heart may not be fully visible, especially in patients with certain anatomical variations or conditions.

Advancements in Echocardiogram Technology

The field of echocardiography continues to evolve with advancements in technology. Some of the latest developments include:

  • 3D Echocardiography: This technique provides three-dimensional images of the heart, offering a more comprehensive view of its structure and function.
  • Contrast Echocardiography: The use of contrast agents enhances the visibility of the heart’s chambers and blood flow, improving diagnostic accuracy.
  • Handheld Echocardiography: Portable, handheld devices allow for quick and convenient echocardiograms in various settings, including emergency rooms and remote locations.

Future Directions in Echocardiography

The future of echocardiography holds promise for even more advanced and accurate diagnostic tools. Researchers are exploring the use of artificial intelligence (AI) and machine learning to enhance image analysis and interpretation. Additionally, the development of new contrast agents and imaging techniques may further improve the diagnostic capabilities of echocardiograms.

Moreover, the integration of echocardiography with other imaging modalities, such as MRI and CT scans, could provide a more comprehensive assessment of cardiac health. This multidisciplinary approach would allow healthcare professionals to gain a deeper understanding of the heart's structure and function, leading to more accurate diagnoses and better patient outcomes.

In conclusion, the Hc Ultrasound Meaning is a critical component of modern cardiac diagnostics. Echocardiograms provide valuable insights into the heart’s structure and function, enabling healthcare professionals to diagnose and monitor a wide range of cardiac conditions. With ongoing advancements in technology, the future of echocardiography looks promising, offering even more accurate and efficient diagnostic tools for improved patient care.

Related Terms:

  • bpd vs hc ultrasound
  • hc ultrasound measurement
  • hc on fetal ultrasound
  • bpd hadlock meaning in ultrasound
  • hc hadlock meaning
  • fl hadlock meaning in ultrasound

More Images